Showcased Work
A curated compilation of my noteworthy pieces.
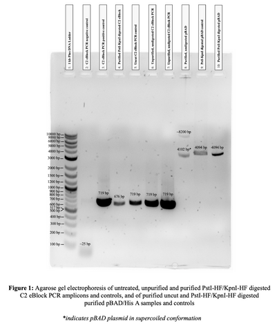
Recombinant expression and purification of amilCP chromoprotein
in pBAD/His A transformed E. coli TOP10 cells.
Project Description
E. coli TOP10 cells were successfully engineered to express the amilCP recombinant chromoprotein–where the protein was subsequently purified, analyzed and confirmed. This project involved in silico and in vitro pBAD/His A vector design, bacterial culturing and plating, molecular cloning and verification of successful transformation via PCR and agarose gel electrophoresis. The expression of the amilCP protein was further confirmed via Sanger DNA sequencing, SDS-PAGE, ion-exchange chromatography, the Bradford assay and Western blotting. Extensive optimizations of bacterial growth conditions and competency were also preformed, yielding optimal cell growth, high transformation efficiency and maximal amilCP protein expression.
Exploring the Genetic Underpinnings of Attention Deficit Hyperactivity Disorder: The role of CDH13 in Neurodevelopment
and Executive Dysfunction
Research Proposal
Abstract
Attention deficit hyperactivity disorder (ADHD) is a prevalent neurodevelopmental disorder which emerges in early childhood and is characterized by persistent symptoms of inattention, hyperactivity and impulsivity that are generally regarded as developmentally inappropriate. Current research suggests the synergistic influences of environmental, prenatal, neurobiological and genetic factors to collectively underpin ADHD pathogenesis. However, despite heritability estimates exceeding 75%, the majority of genetic risk variants identified only elucidate a small proportion of the disorders heritability, suggesting key ADHD candidate genes are yet to be discovered. With recent studies regarding ADHD revealing significant changes in catecholaminergic signaling, brain volumes, as well as delays in neurodevelopment in the basal ganglia (BG), amygdala and prefrontal cortex (PFC), central regions governing executive functions appear of crucial importance to disease etiology.
While vast research strongly correlates behavioral and neurodevelopmental phenotypes to the hallmark symptoms of executive dysfunction in ADHD, there remains an apparent knowledge gap in the genetic etiology behind these neurobehavioral deficits. Accordingly, I propose the CDH13 gene, a highly conserved sequence significantly involved in neurodevelopmental mechanisms, as a novel candidate of study to address this deficit. Despite its strong association with ADHD, CDH13 remains vastly unexplored. Thus, I suggest a reverse genetics approach to answering the question: How does the CDH13 gene impact neurodevelopmental pathways, brain volume, catecholaminergic circuitry and executive function behaviors of the PFC and BG? Through using CDH13 knockout mice models and induced pluripotent stem cells, I will conduct research under the hypothesize that if CDH13 is of variance, then neurodevelopment will be delayed, brain volume will be reduced and catecholaminergic circuitry will be decreased, thereby increasing behaviors and phenotypes commonly associated with ADHD.
Analytical Techniques in molecular biology.
Description
Experience with analytical techniques in molecular biology–including fluorescence microplate assays, ELISA, immunofluorescence microscopy, kinetic/metabolic microsomal assays, NMR and HPLC-MS.































